
CONCEPT 診療理念
桑名のみなさまと共に70余年。
これからも、もっと安心を。
当院が開業した当時から歯科医院のあり方は現在大きく変化しています。
虫歯や歯周病で悪くなった歯の痛みをとって銀歯や入れ歯を作るためでなく生涯にわたって生まれ持った歯を守る事の価値を知りそれを実践する場所になっていくはずです。
健康のために通っていただく歯科医院であるために、我々は日々取り組みを進めています。
あなたに口腔内が健康である喜びを知って頂き、私達はその幸せが続くようサポートいたします。
FEATURE 中野歯科医院の特徴
TREATMENT 診療案内

インプラント
- 失ってしまった歯を取り戻したい
- 今まで通り快適に食事を
楽しみたい
当院の理念は健康な歯を生涯大切にする事。
しかしすでに歯を部分的に失ったり失いかけている方にはインプラントをお勧めしています。 抜けてしまった歯が多ければ多いほど残っている歯の負担は大きくなってしまうものです。そのまま放置すれば残っている歯の寿命がどんどん短くなるのです。
インプラントにより歯が無かったところがしっかり噛めるようになるのも大きな治療の理由です。しかし他の残っている歯の寿命を延ばす手助けとしてのインプラント治療。それが本当の目的でもあります。

セラミック治療
- 銀歯を白くしたい
- 自然で美しい歯にしたい
歯科治療は”悪いところを治す”はもちろん”見た目にも美しく”へ変わってきています。
美しい人の条件の1つに口元の歯並びと歯の形や色があります。美しいスマイルが、人に対してさわやかで、清潔で、明るそうなイメージを与えるからです。
審美歯科は、白く美しい歯を実現するために、治療やケアを行う分野です。
CASE 症例紹介
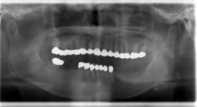
インプラント
シンプルインプラント
| 通院時の年齢 | 60代 |
|---|---|
| 性別 | 女性 |
| 通院回数 | 3ヶ月 |
| 通院目的 | 入れ歯が嫌なのでインプラントにしたい |
| 処置内容 | 右下65 左下46にインプラント |
| 費用 | 約170万円 |
| 備考 | 昔治療済の歯をそのままに入れ歯の部位のみ治療希望され、十分満足された。 |



















