症例紹介
すべての投稿
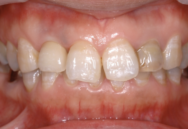
インプラント
インプラント治療
| 通院時の年齢 | 40代 |
|---|---|
| 性別 | 女性 |
| 通院回数 | 約3ヶ月 |
| 通院目的 | 右上の動揺と咬むと痛みがある |
| 処置内容 | 上顎洞拳上術併用インプラント治療 |
| 費用 | 45万円 |
| 備考 | 人工骨を使用せず、上顎洞拳上、治癒期間も短期間で症状もなく補綴物が装着できた。 |
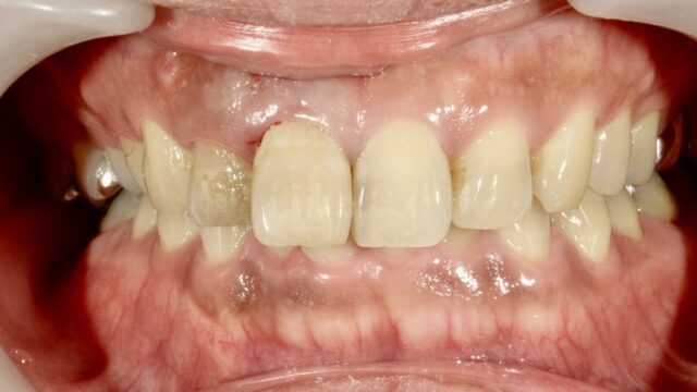
インプラント審美歯科(メタルフリー治療)
審美補綴インプラント有
| 通院時の年齢 | 50代 |
|---|---|
| 性別 | 男性 |
| 通院回数 | 約8ヶ月 |
| 通院目的 | 前歯がぐらつく、キレイにしてほしい |
| 処置内容 | 前歯1本インプラント治療 前歯5本補綴治療 |
| 費用 | 約110万円 |
| デメリット | 生活歯を削る必要がある |
| 備考 | 歯ブラキシズム強く、前歯のかみ合わせも悪いため補綴処置で改善後、夜間のナイトガード(マウスピース)を使用して頂いている。 |
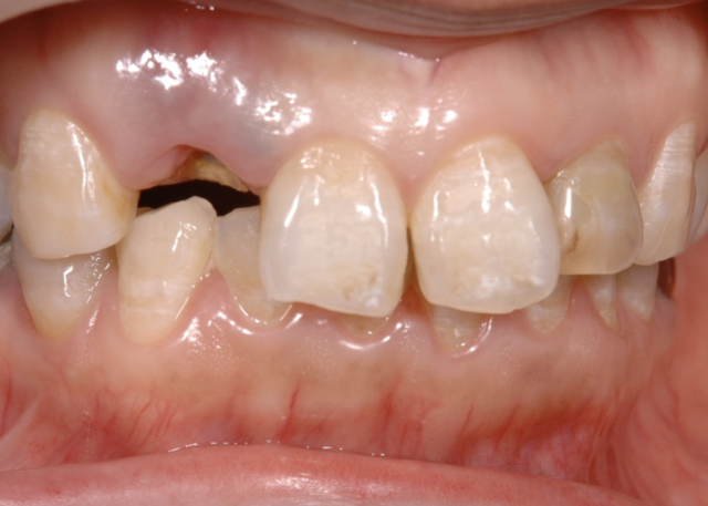
インプラント
インプラント治療
| 通院時の年齢 | 60代 |
|---|---|
| 性別 | 男性 |
| 通院回数 | 約3ヶ月 |
| 通院目的 | 左上が咬むと痛い |
| 処置内容 | 左上破折のため抜歯してインプラント処置 |
| 費用 | 約40万円 |
| 備考 | 抜歯時即時にインプラントを埋入。 1回法で処置することで1回の外科処置で短期間で補綴を入れることができた。 |
インプラント矯正治療
咬合治療 矯正治療あり
| 通院時の年齢 | 50代 |
|---|---|
| 性別 | 女性 |
| 通院回数 | 2年 |
| 通院目的 | 全体治療希望、ちゃんと治したい |
| 処置内容 | インプラント治療、矯正治療 |
| 費用 | 2,300,000円 |
| デメリット | 外科処置のため、麻酔が切れた後少し痛む場合がある。 健康保険の適用外になり、治療費が高くなる恐れがある。 |
| 備考 | このケースは咬合治療でほとんど自分の歯を触らないゴールを目指しました。 小さいころの歯科治療のトラウマで長期に渡り放置したため、全体の崩壊が進んでいました。 しかし、このままではダメだと心機一転、治療を終えられ、今では見た目も噛み合わせもバランスがとれ快適に生活されています。 |
インプラント審美歯科(メタルフリー治療)
審美補綴インプラント有り
| 通院時の年齢 | 50代 |
|---|---|
| 性別 | 男性 |
| 通院回数 | 1年半 |
| 通院目的 | 全体治療希望 |
| 処置内容 | インプラント治療、補綴治療 |
| 費用 | 約2,000,000円 |
| デメリット | 外科処置のため、麻酔が切れた後少し痛む場合がある。 健康保険の適用外になり、治療費が高くなる恐れがある。 |
| 備考 | 奥歯が無くなってきたため前歯で噛む事が増え、隙間が空いてきたのと、全体のバランスが崩れてきていましま。このようなケースでは奥歯がしっかり支えるようにしないと前歯のみの治療ではすぐに壊れてしまいます。 |










