0594-21-8148
WEB受付
パンフレット
希望の方へ
ホーム
HOME
当院について
ABOUT
院長・スタッフ紹介
STAFF
診療案内
TREATMENT
むし歯
歯周病
予防歯科
審美歯科(メタルフリー治療)
インプラント
セレックシステム
小児矯正
マウスピース矯正
料金表
PRICE
医院案内
CLINIC
施設基準
TEL
WEB予約
アクセス
パンフレット
メニュー
ホーム
当院について
医院案内
院長・スタッフ紹介
診療案内
むし歯
歯周病
予防歯科
審美歯科(メタルフリー治療)
インプラント
セレックシステム
小児矯正
マウスピース矯正
料金表
症例紹介
採用情報
お問い合わせ
お知らせ
当院の施設基準
プライバシーポリシー
症例紹介
HOME
症例紹介
審美歯科(メタルフリー治療)
前歯審美補綴
ALL
インプラント
審美歯科(メタルフリー治療)
矯正治療
2026.03.11
審美歯科(メタルフリー治療)
前歯審美補綴
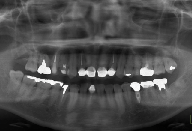
BEFORE
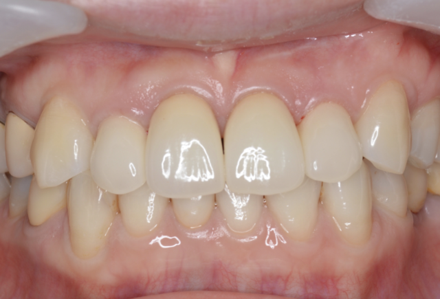
AFTER
症例情報
通院時の年齢
40代
性別
女性
通院目的
前歯の見た目が気になる
矯正はしたくない
処置内容
上顎2~2と下顎右下1の補綴
右上2左上2の歯周外科処置
費用
約65万円
デメリット
右上2と左上2の歯肉の後戻りの可能性がある
備考
右上2と左上2の歯肉形態を修正し、上顎2~2を補綴することで、審美性を獲得した。
右下1は右下2と左下1の形態を少し修正して補綴している。
術前
術後
5年以上経過
ALL
PAGE TOP