0594-21-8148
WEB受付
パンフレット
希望の方へ
ホーム
HOME
当院について
ABOUT
院長・スタッフ紹介
STAFF
診療案内
TREATMENT
むし歯
歯周病
予防歯科
審美歯科(メタルフリー治療)
インプラント
セレックシステム
小児矯正
マウスピース矯正
料金表
PRICE
医院案内
CLINIC
施設基準
TEL
WEB予約
アクセス
パンフレット
メニュー
ホーム
当院について
医院案内
院長・スタッフ紹介
診療案内
むし歯
歯周病
予防歯科
審美歯科(メタルフリー治療)
インプラント
セレックシステム
小児矯正
マウスピース矯正
料金表
症例紹介
採用情報
お問い合わせ
お知らせ
当院の施設基準
プライバシーポリシー
症例紹介
HOME
症例紹介
インプラント
多数歯インプラント+補綴処置
ALL
インプラント
審美歯科(メタルフリー治療)
矯正治療
2026.04.17
インプラント
審美歯科(メタルフリー治療)
多数歯インプラント+補綴処置
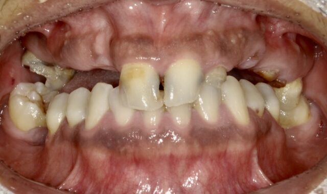
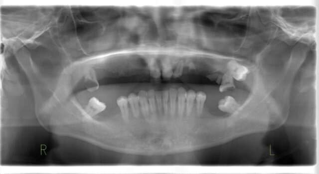
BEFORE
AFTER
症例情報
通院時の年齢
40代
性別
男性
通院回数
1年半
通院目的
何とか見た目も良くして噛めるようにしたい。
処置内容
多数歯インプラントと補綴処置
費用
約330万円
デメリット
費用に制限があり終了。
上の前歯等、将来的にインプラントの追加が必要になると思われる。
備考
ずっと悪いのを放置し続けていたが、今回きちんと治療したいとの事できちんと通院。
今後再治療も必要な可能性も理解されているが、今は満足している。
術前
術後
ALL
PAGE TOP