0594-21-8148
WEB受付
パンフレット
希望の方へ
ホーム
HOME
当院について
ABOUT
院長・スタッフ紹介
STAFF
診療案内
TREATMENT
むし歯
歯周病
予防歯科
審美歯科(メタルフリー治療)
インプラント
セレックシステム
小児矯正
マウスピース矯正
料金表
PRICE
医院案内
CLINIC
施設基準
TEL
WEB予約
アクセス
パンフレット
メニュー
ホーム
当院について
医院案内
院長・スタッフ紹介
診療案内
むし歯
歯周病
予防歯科
審美歯科(メタルフリー治療)
インプラント
セレックシステム
小児矯正
マウスピース矯正
料金表
症例紹介
採用情報
お問い合わせ
お知らせ
当院の施設基準
プライバシーポリシー
症例紹介
HOME
症例紹介
インプラント
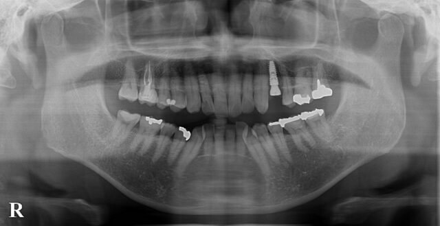
インプラント治療
ALL
インプラント
審美歯科(メタルフリー治療)
矯正治療
2026.01.21
インプラント
インプラント治療
BEFORE
AFTER
症例情報
通院時の年齢
60代
性別
男性
通院回数
約3ヶ月
通院目的
左上が咬むと痛い
処置内容
左上破折のため抜歯してインプラント処置
費用
約40万円
備考
抜歯時即時にインプラントを埋入。
1回法で処置することで1回の外科処置で短期間で補綴を入れることができた。
抜歯後即時埋入時 術後2週間後 補綴完成時
術後(パノラマ写真)
術前 術後
ALL
PAGE TOP