0594-21-8148
WEB受付
パンフレット
希望の方へ
ホーム
HOME
当院について
ABOUT
院長・スタッフ紹介
STAFF
診療案内
TREATMENT
むし歯
歯周病
予防歯科
審美歯科(メタルフリー治療)
インプラント
セレックシステム
小児矯正
マウスピース矯正
料金表
PRICE
医院案内
CLINIC
施設基準
TEL
WEB予約
アクセス
パンフレット
メニュー
ホーム
当院について
医院案内
院長・スタッフ紹介
診療案内
むし歯
歯周病
予防歯科
審美歯科(メタルフリー治療)
インプラント
セレックシステム
小児矯正
マウスピース矯正
料金表
症例紹介
採用情報
お問い合わせ
お知らせ
当院の施設基準
プライバシーポリシー
症例紹介
HOME
症例紹介
インプラント
前歯インプラント
ALL
インプラント
審美歯科(メタルフリー治療)
矯正治療
2026.03.10
インプラント
前歯インプラント
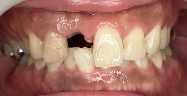
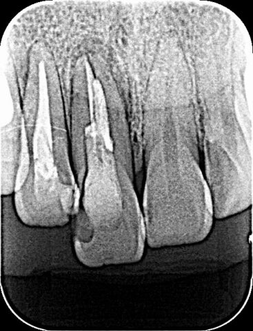
BEFORE
AFTER
症例情報
通院時の年齢
40代
性別
男性
通院目的
右上1の破折と右上2の審美障害
処置内容
右上1はインプラント補綴、右上2は補綴処置を行いました。
費用
約55万円
初診時
術中
術中
ALL
PAGE TOP